Bệnh tăng tiết mồ hôi (Hyperhidrosis)
Bệnh tăng tiết mồ hôi - Giáo trình Bệnh học Da liễu ĐHYHN
24
Th6
Th6
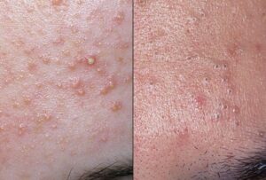
Phát ban mụn mủ lan tỏa cấp tính (Acute generalized exanthematous pustulosis – AGEP)
Phát ban mụn mủ lan tỏa cấp tính - Bệnh học Da liễu ĐHYHN
22
Th6
Th6
Bệnh IgA bọng nước thành dải (Linear IgA bullous dermatosis – LABD)
Bệnh học IgA bọng nước thành dải - Giáo trình Bệnh học Da liễu ĐHYHN
12
Th6
Th6
Viêm da dạng Herpes của Duhring-Brocq (Dermatitis herpetiformis Duhring Brocq)
Viêm da dạng Herpes của Duhring-Brocq - Bệnh học Da liễu ĐHYHN
11
Th6
Th6
Bệnh Pemphigoid bọng nước (Bullous Pemphigoid)
Bệnh học Pemphigoid bọng nước - Giáo trình Bệnh học Da liễu ĐHYHN
11
Th6
Th6
